​BB贝博艾弗森

全院新闻

more
您当前所在位置: 首页 > 公司新闻 > 全院新闻 > 正文

硬科技的“软”心肠

发布时间:2020-02-19点击量:

无人机360度无死角监控和喊话,“停课不停学”的高质量在线授课和课程资源,在家即可问诊的网络义诊平台,更多的科技赋能抗阻新冠肺炎经典案例一个接一个,国人出行生活受阻隔的同时,也深切感受到硬科技也有“软”心肠的另一面。

在BB贝博艾弗森(简称西电)有这样一群人,他们操作冰冷的仪器,分析处理没有情感的数据,却用最炽热的心践行着“疫情就是命令,防控就是责任”的承诺,他们与时间赛跑,用科技的力量编制和加固着战“疫”防线。

医护人员的好帮手:基于深度学习的新冠肺炎早期检测筛查系统

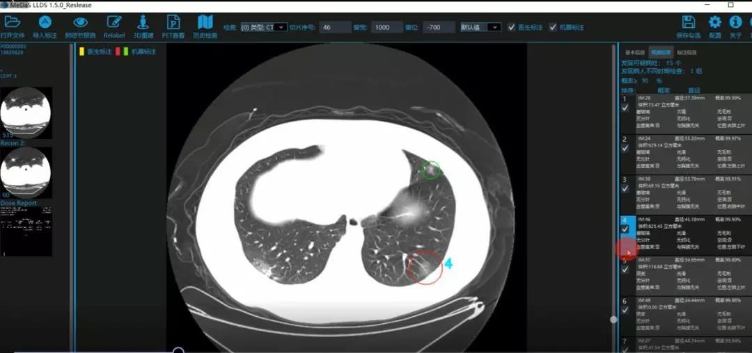
西电BB贝博艾弗森智能软件与系统新技术研究所副教授张亮的爱人是西安交通大学第二附属医院抗疫一线的影像科医生,疫情发生以来,他们讨论最多的就是新型冠状病毒感染者的早期诊断问题。作为一名医护家属,身为高校科研工作者,张亮深知快速准确地诊断新冠肺炎早期患者对控制和防治疫情的重要性和挑战性。他与团队成员主动出击,通过远程网络会议,在前期医学影像处理的研究基础上加速科研攻关,反复讨论方案,屡次设计模型,与上海宽带技术及应用工程研究中心、上海交通大学医公司附属瑞金医院等合作单位的人员多次标注整理患者肺部CT影像数据到深夜。与此同时,他们依托上海瑞金医院、西安交通大学第二附属医院等的新冠肺炎疑似、确诊患者肺部CT影像,通过综合分析新冠肺炎患者的肺部CT影像特点(磨玻璃、体积大小、位置等特征),张亮团队加快技术攻关,设计开发了基于深度学习的新型冠状病毒的早期检测筛查模型系统。

对应新冠肺炎CT病灶检测效果

令人欣喜的是,通过对实际门诊数据排查测试,该模型可以减轻医护人员近80%的工作量,新冠肺炎患者的检测召回率超过95%。目前,模型系统正在进行最后的调试工作,很快投入到“战疫”一线,缓解医护人员紧缺、确诊检测工作耗时较长等问题,减少医护人员的工作时间和劳动强度,提高工作效率。

防疫一线的“侦察兵”:疫情高风险区域防控测温与身份识别预警及疫情数据分析系统

如何快速地对流动人员进行体温筛查和人员信息采集是十分迫切的需求,只有“防”做好,才能事半功倍,为“治”争取更多时间,使“控”取得最好效果,打赢这场疫情阻击战。

在全国疫情防控进入胶着对垒状态的关键时刻,西电通信工程公司相征教授团队依托科研积累与技术优势,加强系统集成攻关,快速研发了“疫情高风险区域防控测温与身份识别预警及疫情数据分析系统”。

该系统在环球印务股份有限公司的应用情况

极简的设计理念,使得该系统的各项硬件可以很轻松地收纳在三防行李箱中,便于携带和快速部署,开机即可使用。该系统可布置在口岸、机场、车站、办公楼等场所人流出入通道,在关口或闸机口安装非接触式体温筛查仪,实现所有出入人流的体温实时监测和超温预警,便于相关工作人员对可疑发热人员进行医学复查。通过对红外热成像非接触式测温、二代身份证识别、后台联动报警等几种技术集成应用,采用自组网技术进行低成本、大容量监测数据实时回传,实现各种场所对流动人员体温检测和身份识别。

据悉,该系统现已成功运用于西安北客站、环球印务有限公司等公共防役关口。团队成员尚渭萍表示:“我们正在积极联系量产的事情,希望能为疫情早发现、早隔离和主管部门实时掌控监测疫情、分析决策提供技术支持。”

战“疫”部署的智囊团:基于强关联规则的疫情发展分析与预测

疫情将会如何发展?拐点何时出现?后期防疫工作怎么做?提前预判疫情发展趋势对于做好防疫安排部署而言十分重要。

西电电子工程公司冯伟及团队成员,利用国家卫健委、湖北卫健委和国家疾控中心的每日确诊人数和每日死亡人数等多组数据,通过综合分析并寻找变量之间的隐性规律,建立了基于强关联规则的疫情发展分析与预测模型,对疫情进展和趋势进行科学评估。

该模型现已实现了对全国、湖北和除湖北外其他地区的疫情确诊人数、日增人数、死亡人数等的建模和预测。在累计和平均日增确诊人数预测中,该模型对湖北地区前23天的预测相对误差为1.6%和8.6%,对全国其他地区的预测相对误差为1.2%和8.4%。该项工作的咨询报告初版已经由工信部赛迪研究院(北京)提交给了工信部,作为疫情发展趋势分析的决策参考。

“希望能学以致用,为抗疫尽点微薄之力”,冯伟的初心简单而朴素。目前,该团队正在根据政府严控后的疫情突变数据进行分析,验证模型在存在奇异点情况下的鲁棒性等,将很快完成更长期的疫情新的发展预测与评估工作,这对于疫情防疫物资保障和后期经济生产活动部署具有重要的参考意义。

转自BB贝博艾弗森官方微信公众号

上一篇:抗击疫情,西电BDIV本硕博师联合党支部在行动
下一篇:西电博士李瑞助力青海省织密扎牢疫情防控网